MR-zero meets ...

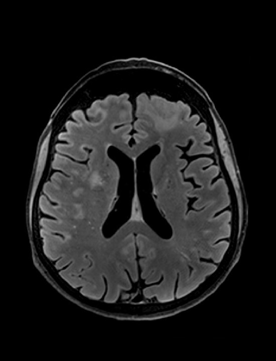
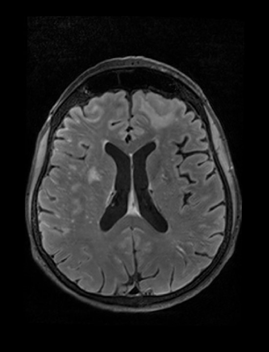
3D FLAIR TSE

ORIGINAL -----------------------I---------------------- IMPROVED

              Move the blue slider!

FLASH in transient state

ORIGINAL -----------------------I---------------------- IMPROVED
Image 3
Image 4

Our secret?
Not AI, but optimized MR acquisition. We fine-tune flip angle trains end-to-end for better point spread function and artifact-free results.